아이젠멩거증후군
아이젠멩거증후군
- 등록일 : 2023-04-25
아이젠멩거증후군
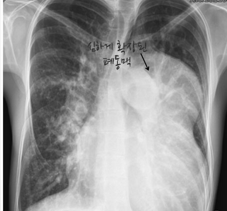
심방 중격 결손, 심실 중격 결손, 혹은 동맥관 개존증과 같이,심장 안이나 밖에서 왼쪽 심장 (체순환)에서 오른쪽 심장 (폐순환)으로 혈류가 바로 흘러 버리는 단락 (좌->우 단락)이 지속되는 심장병을 교정하지 않고 그냥 두면,폐동맥에 흐르는 혈류량이 증가되어 결국 폐동맥을 손상시키고, 결국 폐순환에 체순환의 혈압을 웃도는 고혈압이 생깁니다.이렇게 되면 혈류는 전신을 돌며 산소를 공급하고 돌아온 산소가 부족한 오른쪽 심장의 혈액이 왼쪽 심장으로 넘어가(우->좌 단락)산소가 부족한 피가 다시 전신을 순환하게 되므로 청색증이 생깁니다. 이러한 상황에 이르렀을 때, 아이젠멩거 증후군이 발생하였다고 합니다.
아이젠멩거 증후군이 진단되면 원래 가지고 있던 심장 결손은 대부분의 경우 교정이 불가능합니다.
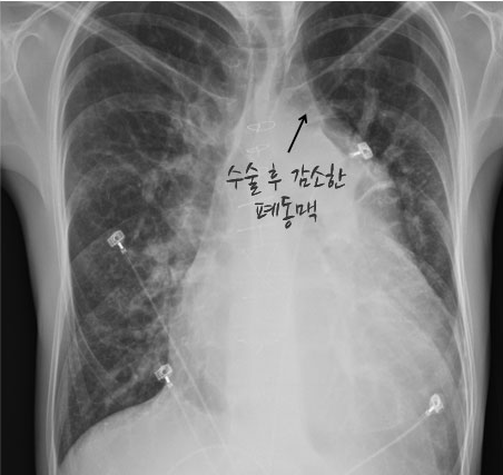
간혹, 아이젠멩거 증후군을 진단받은 환자들 중에서도 장기간의 내과적 치료 후, 비가역적으로 진행했다고 보여지는 폐동맥 고혈압에 가역성이 생기는 드문 경우가 있는데, 이럴 때 수술적 치료를 시도하기도 합니다.

