아이심장

메뉴

대표전화
1599-6677
진료 예약 및 문의를 도와드립니다.
진료시간
  • 평일08:30 ~ 17:30
  • 토요일08:30 ~ 12:30

성인선천성심기형환자

성인선천성심기형환자

성인선천성심기형환자

성인선천성심기형환자

대부분의 선천성 심기형은 영,유아기 시절 해결하게 됩니다.
성인 선천성 심기형 환자는, 이렇게 어린 시절에 선천성 심기형을 교정 받은 환자는 물론이고, 여러 사정으로 어린 시절에 교정 받지 못하고 성인이 될 때까지 선천성 심기형이 교정되지 않은 상태로 지내는 환자 모두를 포함합니다.


어렸을 때 교정을 받은 경우
지속적으로 진료 받지 않아도 되는 환자 심방 중격 결손, 혹은 심실 중격 결손 등 단순 심기형에 대한 교정 받았던 환자
정기적으로 진료받고
상태를 점검 받아야 되는 환자
- 판막 질환에 대한 교정을 받았던 환자단심실 교정을 받았던 환자
- 여성 환자들 중 임신을 계획하는 환자
어렸을 때 교정 받지 못한 경우
심방 중격 결손, 심실 중격 결손, 동맥관 개존증 - 심한 폐동맥 고혈압
- 아이젠멩거 증후군의 발현
활로사징증, 엡스타인 기형 심한 청색증 호소

사례(1)
  • [심방 중격 결손을 교정 받지 않은 채 살아온 54세 환자의 흉부 엑스선 사진.]

    장기간의 좌->우 단락으로 인하여 폐동맥 고혈압이 심하게 진행하였고, 심장의 크기도 보통에 비하여 심하게 늘어나 있습니다.


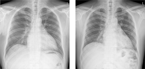
사례(2)
  • 엡스타인 기형을 수술받지 않은 채 살아온 54세 환자의 수술 전(좌측)과

    수술 후(우측) 흉부 X 선 사진 비교수술 후 심장의 크기가 감소하고 있습니다.

선택진료
선택진료란?
환자 또는 보호자가 특정한 의사를 선택하여 진료를 받는 제도로서, 선택(특진, 지정) 진료를 받으시면 보건복지부령에 정하는 범위에 추가 진료비를 본인이 부담하시면 됩니다. (보건복지부령 174호 제5조 3항 관련)
선택(지정,특진) 진료 대상 의사는 어떤 자격이 있나요? 선택(지정,특진) 진료 대상 의사는 해당 진료과의 전문의 자격을 취득한 후 10년이 경과 하거나, 대학병원의 조교수 이상의 자격을 갖춘 의사입니다.
선택(지정,특진)진료의 보험 혜택 여부는? 보건복지부의 추가 비용 항목과 산정 기준에 따라, 선택(지정,특진) 진료는 보험 혜택 없이 비용을 환자가 전액 본인 부담합니다.
진료항목 추가비용산정기준
진찰 국민건강보험 진료수가 기준중 진찰료의 55% 가산
의학관리 국민건강보험 진료수가 기준중 입원료의 20%가산
검사 국민건강보험 진료수가 기준중 검사료의 50% 가산
영상진단 국민건강보험 진료수가 기준중 영양진단료의 25% 가산
마취 국민건강보험 진료수가 기준중 마취료의 100% 가산
처치/수술 국민건강보험 진료수가 기준중 수술료의 100% 가산
특진의사란?
전문의 자격증 취득후 10년 이상의 경력을 가진 의사 (대학병원의 조교수 이상)